Imagine waking up one morning and feeling a sharp throbbing pain in your gums.Â
You take a look in the mirror, and to your horror, you notice that your teeth are starting to look loose.Â
Panic sets in as you realize that you might be losing your teeth due to periodontal disease. This scenario may seem like a nightmare, but for many individuals, it is a harsh reality.Â
In this blog post, we will explore the world of periodontal disease, its effects on tooth loss, and the importance of early intervention in maintaining a healthy smile.
Defining Periodontal Disease
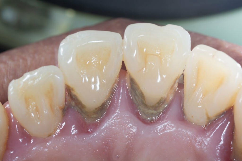
Periodontal disease, also known as gum disease, is a bacterial infection that affects the gums and supporting structures of the teeth.Â
It is a common condition that starts with the buildup of plaque, a sticky film of bacteria, on the teeth. Over time, if left untreated, the bacteria can invade and infect the gums, causing inflammation and damage to the surrounding tissues.
There are two main stages of periodontal disease: gingivitis and periodontitis. Gingivitis is the milder form and is characterized by red, swollen gums that may bleed during brushing or flossing.Â
If gingivitis is not addressed, it can progress to periodontitis, a more severe stage where the infection spreads below the gum line and causes the gums to recede, exposing the roots of the teeth.
Periodontal disease is a silent condition, often without pain or noticeable symptoms in its early stages.Â
This makes it crucial to be aware of the factors that contribute to tooth loss and to recognize the symptoms of periodontal disease.
Prevent periodontal disease by using the KIWIBIRD black electric toothbrush. This advanced toothbrush is designed to effectively remove plaque and prevent the build-up of harmful bacteria in your mouth.Â
Factors contributing to tooth loss
When it comes to tooth loss, periodontal disease is one of the leading causes.Â
The infection and inflammation associated with periodontal disease can weaken the gums and supporting structures, making the teeth more susceptible to falling out.Â
Additionally, the bacteria from the infection can attack the bone that holds the teeth in place, leading to bone loss and further destabilization of the teeth.
Other factors that can contribute to tooth loss in individuals with periodontal disease include poor oral hygiene, smoking, genetics, and certain systemic conditions such as diabetes. These factors can exacerbate the effects of periodontal disease and increase the risk of tooth loss.
Recognizing the symptoms of periodontal disease and seeking treatment is crucial to prevent further damage and potential tooth loss. Let's explore the common symptoms and the progression of this condition.
KIWIBIRD white electric toothbrush with powerful oscillating bristles reach deep into the gaps between your teeth and along the gum line, ensuring a thorough clean every time.Â
Recognizing Symptoms of Periodontal Disease
Periodontal disease often starts with subtle signs that may be easy to overlook. However, paying attention to these early symptoms can make a significant difference in preserving your teeth. Some common signs of periodontal disease include:
1. Red, swollen, or tender gums
2. Gums that bleed easily during brushing or flossing
3. Receding gums or teeth that appear longer than usual
4. Persistent bad breath or a bad taste in the mouth
5. Loose or shifting teeth
If you notice any of these symptoms, it is important to consult with a dental professional who can assess your oral health and provide appropriate treatment.Â
Ignoring these signs can lead to the progression of periodontal disease, which can have severe consequences for your oral health.
The KIWIBIRD pink electric toothbrush also features a built-in timer, reminding you to brush for the recommended two minutes.Â
Progression of periodontal disease
Periodontal disease is a progressive condition, meaning it worsens over time if left untreated. The bacteria in plaque continue to multiply and invade the gums, causing more inflammation and damage.Â
As the infection spreads, it can destroy the supporting structures of the teeth, including the bone and ligaments.
In the early stages of periodontal disease, gingivitis, the damage is mostly reversible with proper treatment and improved oral hygiene. However, if gingivitis progresses to periodontitis, the damage becomes irreversible. The pockets between the gums and teeth deepen, providing a breeding ground for bacteria and making it even harder to clean effectively.
As the infection advances, the gums recede, exposing the roots of the teeth and leading to tooth sensitivity. The teeth may become loose and start shifting, affecting the bite and overall oral function. In severe cases, tooth loss can occur.
Understanding the progression of periodontal disease and its potential consequences underscores the importance of seeking treatment as early as possible.Â
Early intervention can help prevent further damage and preserve your teeth.
KIWIBIRD green electric toothbrush with its sleek design and easy-to-use features, this toothbrush is a must-have for maintaining optimal oral hygiene.
Effects of untreated periodontal disease
Untreated periodontal disease can have far-reaching effects beyond tooth loss.Â
The infection and inflammation associated with this condition can have negative impacts on your overall health.Â
Recent research has linked periodontal disease to a variety of systemic conditions, including cardiovascular disease, diabetes, respiratory infections, and even certain types of cancer.
The bacteria from the infection can enter the bloodstream and travel to other parts of the body, contributing to systemic inflammation and potentially causing or exacerbating other health issues. Maintaining good oral health and addressing periodontal disease promptly can not only help save your teeth but also protect your overall well-being.
Now that we understand the potential consequences of untreated periodontal disease, let's explore the available treatments and the importance of early intervention.
Take control of your dental health and invest in the KIWIBIRD electric toothbrush today.
Treatments for periodontal disease
The treatment options for periodontal disease depend on the stage of the condition and the extent of the damage.Â
In the early stages of gingivitis, treatment typically involves a professional cleaning, known as scaling and root planing, to remove the plaque and tartar buildup.Â
This is usually followed by improved oral hygiene practices at home, including regular brushing and flossing.
If periodontitis has developed, the treatment may involve more intensive procedures such as periodontal surgery, bone grafting, or the placement of dental implants. These procedures aim to remove the infection, restore damaged tissues, and stabilize the teeth.
It is important to note that treatment for periodontal disease is a collaborative effort between the dental professional and the patient. Regular dental visits, adherence to recommended oral hygiene practices, and making necessary lifestyle changes, such as quitting smoking, can greatly improve the outcomes of treatment.
While treatment can help manage periodontal disease, preventing further tooth loss requires ongoing maintenance and commitment to maintaining good oral hygiene.
To prevent periodontal disease, I strongly recommend using the KIWIBIRD rechargeable water flosser.Â
Importance of early intervention
Early intervention is key to preserving your teeth when it comes to periodontal disease.Â
As with many health conditions, the earlier you address the problem, the better the chances of successful treatment and maintaining a healthy smile.
Regular dental check-ups are essential for early detection of periodontal disease. Dental professionals have the expertise to identify the signs of the condition and provide appropriate treatment. They can also provide guidance on proper oral hygiene techniques and lifestyle modifications that can help prevent the progression of periodontal disease.
Remember, addressing periodontal disease in its early stages not only saves your teeth but also protects your overall health.Â
KIWIBIRD portable oral irrigator effectively removes plaque and debris from between teeth and along the gumline, where traditional brushing and flossing may not reach.Â
Long-term consequences of tooth loss
Tooth loss, whether due to periodontal disease or other causes, can have significant long-term consequences for your oral health and overall well-being.Â
When a tooth is lost, the surrounding teeth may start to shift, affecting the alignment and bite. This can lead to issues such as difficulty chewing, jaw pain, and even temporomandibular joint (TMJ) disorders.
Furthermore, the bone that once supported the lost tooth can start to deteriorate over time. This bone loss can affect the stability of the remaining teeth and potentially lead to further tooth loss. Additionally, the loss of teeth can impact your self-esteem and confidence, affecting your social interactions and overall quality of life.
Preventing further tooth loss and maintaining oral hygiene is crucial for individuals with periodontal disease. Let's explore some strategies to help you preserve your teeth and improve your oral health.
The KIWIBIRD cordless water pick utilizes a powerful stream of water to gently and thoroughly clean the teeth and gums, reducing the risk of gum inflammation and infection.Â
Maintaining oral hygiene with periodontal disease
While periodontal disease can present challenges to maintaining good oral hygiene, it is not impossible.Â
With proper care and a proactive approach, you can keep your teeth and gums as healthy as possible.Â
Here are some tips:
1. Brush your teeth at least twice a day using a soft-bristled toothbrush and fluoride toothpaste. Be gentle and avoid aggressive scrubbing, as this can further irritate the gums.
2. Floss daily to remove plaque and debris from between the teeth and along the gum line. If traditional flossing is difficult, consider using floss picks or water flossers as alternative options.
3. Use an antimicrobial mouthwash to help reduce the bacteria in your mouth. Consult with your dental professional to find the most suitable product for your needs.
4. Quit smoking or using tobacco products. Smoking not only increases the risk of periodontal disease but also hinders the healing process.
5. Maintain regular dental check-ups and cleanings. Your dental professional can monitor your oral health, provide necessary treatments, and offer guidance on maintaining good oral hygiene.
By following these practices, you can help prevent further tooth loss and maintain a healthy smile, even with periodontal disease.
KIWIBIRD water flosser adjustable pressure settings allow for a personalized and comfortable experience.Â
Preventing further tooth loss
Preventing further tooth loss is a top priority for individuals with periodontal disease.Â
In addition to maintaining good oral hygiene, there are other measures you can take to protect your teeth:
1. Adopt a balanced diet rich in fruits, vegetables, whole grains, and lean proteins. Proper nutrition supports overall oral health and can contribute to stronger teeth and gums.
2. Manage underlying health conditions such as diabetes or hormonal imbalances, as these can affect the health of your gums.
3. Avoid habits that can further damage your teeth, such as clenching or grinding your teeth, biting on hard objects, or using your teeth as tools.
4. Consider using a mouthguard if you engage in sports or activities that may put your teeth at risk of injury.
By taking these preventive measures, together with regular dental care and proper oral hygiene, you can increase your chances of keeping your teeth for as long as possible, even with periodontal disease.
Conclusion
Periodontal disease can have devastating effects on your oral health, potentially leading to tooth loss if left untreated.Â
Recognizing the symptoms, seeking early intervention, and maintaining good oral hygiene are vital for preserving your teeth and overall well-being.Â
Remember, your dental professional is your partner in oral health and can provide the guidance and treatments necessary to help you keep your teeth for as long as possible.Â
Take control of your oral health and take the necessary steps to protect your smile.
